Multidisciplinary Shoulder & Elbow Society Library

Our comprehensive library has everything you need to help you better understand your patients' shoulder or elbow problems.

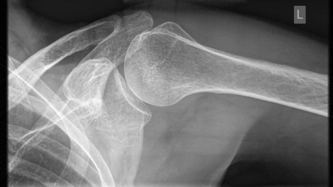
Case Study: 24M Recurrent Shoulder Instability case study quiz question shoulder dislocation shoulder instability traumatic anterior shoulder dislocation

A computed tomography image of a 24-year-old banker who has recurrent shoulder instability demonstrates 6% bone loss of his glenoid. His first dislocation occurred as a teenager while snowboarding. Th...

Continue Reading...
Case of the Week: Atraumatic Lateral Shoulder Pain in a 59F case of the week case study rotator cuff related pain subacromial impingement

Case of the Week: Atraumatic Lateral Shoulder Pain in a 59F

CC: Atraumatic Lateral Shoulder Pain in a 59F.

HPI: This 59-year-old female has had a 1 year atraumatic history of lateral shoulder pain. ...

Continue Reading...
Case of the Week: Upper Trapezius Pain in 49F case of the week case study cervical spine cervicogenic pain myofascial pain shoulder pain upper trapezius

Case of the Week

Upper Trapezius Pain in 49F

 Image Credit: By RSatUSZ - PACS UniversitätsSpitalZürich, CC BY-SA 4.0, Wikimedia Commons. 

 

CC: Upper trapezius pain in a 49F after a traumatic inju...

Continue Reading...
FREE GIFT: SHOULDER CARE ALGORITHM INFOGRAPHIC

Join Our Newsletter & Get a FREE Membership

By signing up you for our newsletter you will get a FREE membership to the Multidisciplinary Shoulder & Elbow Society and we will send you our Shoulder Care Algorithm Infographic which was created and is used by our shoulder & elbow fellowship trained orthopaedic surgeons. On top of that you will receive our weekly newsletter which includes articles, educational resource, surgeon clinical pearls, along with access to instructional courses and the annual meeting.

You're safe with me. I'll never spam you or sell your contact info.